Software
  
FiA-Net: brain age prediction from 3D brain MRI
- for 0-100 years of age
 - based on structural brain MRI (T1-weighted; MPRAGE)
 - built on >16,000 brain MRIs
 - multi-site brain MRI acquired on GE/Siemens/Philips scanners
 
References
- S He, D Pereira, JD Perez, RL Gollub, SN Murphy, S Prabhu, R Pienaar, RL Robertson, PE Grant, Y Ou. "Multi-channel Attention-Fusion Neural Network for Brain Age Estimation: Accuracy, Generality, and Interpretation with 16,705 Healthy MRIs across Lifespan", Medical Image Analysis, 72: 102090, (2021).
 - S He, RL Gollub, SN Murphy, JD Perez, S Prabhu, R Pienaar, RL Robertson, PE Grant, Y Ou. “Brain Age Estimation Using LSTM on Children's Brain MRI", IEEE International Symposium on Biomedical Imaging (ISBI), 420-423. (2020).
 
  
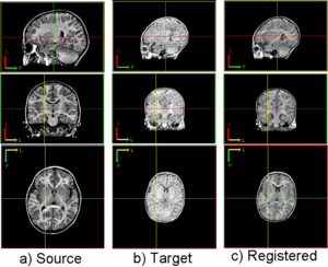
DRAMMS: 2D/3D deformable image registration
pop-DRAMMS: unbiased atlas construction
4D-DRAMMS: 3D+time deformable registration of longitudinal images
MUSE: brain region segmentation/parcellation
.
PICASSO ; MASS: brain MRI skull stripping, for
- 0-100 years
 - multi-site clinically-acquired as well as research brain MRI;
 - T1, MPRAGE and diffusion (ADC map) MRI;
 - multi-scanner (GE, Siemens, Philips) and multi-platform (1.0T, 1.5T, 3T, 7T) brain MRI;
 - healthy as well lesion-bearing (e.g., brain tumor, cavity-bearing) brain MRI.
 
References
- Y Ou, RL Gollub, K Retzepi, NA Reynolds, R Pienaar, S Pieper, SN Murphy, PE Grant, L Zöllei, "Brain Extraction in Pediatric ADC Maps, toward Characterizing Neuro-Development in Multi-Platform and Multi-Institution Clinical Images", 122: 246-261, NeuroImage (2015).
 - J Doshi, G Erus, Y Ou, B Gaonkar, C Davatzikos, "Multi-Atlas Skull Stripping". Academic Radiology, 20(12): 1566-1576, (2013).
 
  
FOVnormalize: field of view normalization, for
- multi-site, clinically-acquired brain MRI;
 - brain MRI in adult and children;
 - brain MRI in health and disease;
 - 0-100 years of age
 
Y Ou, L Zöllei, X Da, K Retzepi, SN Murphy, ER Gerstner, BR Rosen, PE Grant, J Kalpathy-Cramer, RL Gollub, "Field of View Normalization in Multi-Site Brain MRI", Neuroinformatics, 16(3): 431-444, (2018).
