Research

Deep networks for solving challenging image recovery problems

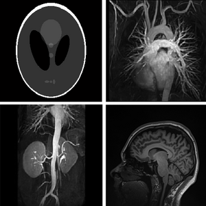
deepmri2

Supervised and Unsupervised Deep Methods for MRI Reconstruction:

1- Deep Plug-and-Play Prior for Parallel MRI Reconstruction (Link)


2- ODE-based Deep Network for MRI Reconstruction (Link)


3- Non-Learning based Deep Parallel MRI Reconstruction (NLDpMRI) (Link)

 

RACING

racing

Reconstruction Augmentation by Constraining with Intensity Gradients (RACING)

PATENT
Ali Pour Yazdanpanah, Onur Afacan, Simon K. Warfield, Reconstruction Augmentation by Constraining with Intensity Gradients in MRI, Filed on April 25, 2019 with the U.S. Patent and Trademark Office as Application 62/838,452.

 

 

Whole Brain Segmentation using Deep Networks

 

 

seg

Large-Scale Distributed Training of Deep Networks using Three Different Clusters:

1- NERSC (National Energy Research Scientific Computing Center)

2- O2 (Harvard Medical School)

3- MGHPCC (Massachusetts Green High Performance Computing Center)

 

Lensless Smart Sensor

 

 

lss

End-To-End Large-Scale Optimization of Lensless Smart Sensor (LSS):

1- Joint optimization of gratings and signal processing in computational diffractive imagers:  Novel optical elements for lensless integrated imagers.

2- Designed the new optimized binary phase diffraction gratings.
3- Designed the new optimized multi-level phase diffraction gratings.
4- Improved LSS reconstruction algorithm performance.

@ Computational Sensing and Imaging group, Rambus Labs

Advisor: Dr. David G. Stork (Rambus Labs)

 

Novel Neutron-Photon Computed Tomography Imaging

np

3D Object Reconstruction and Material Discrimination in Sparse-View Neutron-Photon Computed Tomography

(Link1) (Link2) (Link3)

 

Sparse-View CT and MRI Reconstruction

 

sparse

Sparse-View CT and MRI Reconstruction Methods:
 

1- Compressed Sensing Magnetic Resonance Imaging based on Shearlet Sparsity and Nonlocal Total Variation (Link)
2- Compressed Sensing MRI using Curvelet Sparsity and Nonlocal Total Variation, CS-NLTV (Link)
3- Sparse-View CT Reconstruction based on Nonconvex L1-L2 Regularization (Link)
4- Algebraic Iterative Reconstruction-Reprojection (AIRR) Algorithm for High Performance Sparse-View Projection CT Reconstruction (Link)
5- Sparse-View CT Reconstruction using Curvelet and TV-based Regularization (Link)

 

NASA Advanced Computer Vision Robotics and Visualization Methods

nasa

NASA Advanced Computer Vision, Robotics, and Visualization Algorithms for Improving Planetary Exploration and Understanding

Real-Time Horizon Line Detection (Video)

@NASA Ames Research Center

Project Page

CUDA Implemention (Code - Private GitHub Repo)

 

CS-based Communication Channel Estimation for OFDM System in UAV

ofdm

CS-based OFDM Channel Estimation in Unmanned Aerial Vehicles:

1- Compressive Sensing Based Communications Channel Estimation for OFDM System in Unmanned Aerial Vehicles (Link)

Deep Learning based Automated Bicycle Detection & Count System

ndot

 Automated Bicycle Detection & Count Methods:

1- A Trajectory Based Method of Automatic Counting of Cyclist in Traffic Video Data (Link)

2- Bicycle Detection using HOG, HSC and MLBP (Link)

 

Remotely-Sensed Hyperspectral Data Classification

 
hyperspectral1

Remotely-Sensed Hyperspectral Data Classification using Deep Belief Network

 

1- A Deep Belief Network for Classifying Remotely-Sensed Hyperspectral Data (Code) (Link)

 

Human Detection and Tracking using Infrared FLIR Sensor in UAV

flir

 

Human Detection and Tracking using Infrared FLIR Sensor in Unmanned Aerial Vehicles

 

 

LFAD

lfad

Locally- and Feature- Adaptive Diffusion Based Image Denoising Algorithm (LFAD)

 

With CUDA Implementation (up to 20x Speed up) (Link)